2026-04-10 · 6 min read
Understanding Castleman Disease: A Rare Lymph Node Disorder
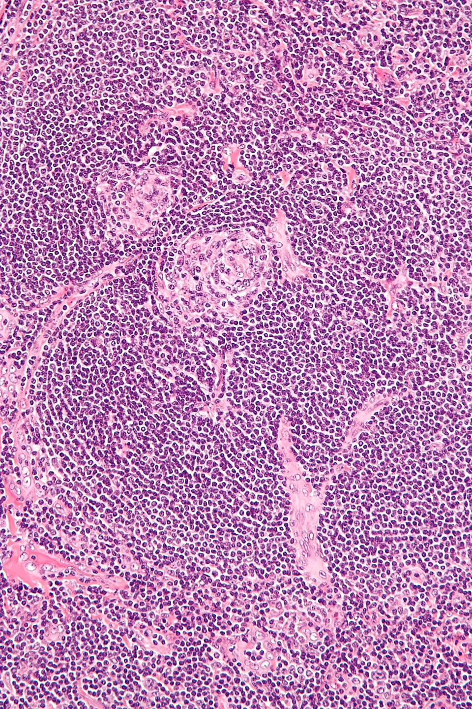
Castleman disease (CD) is a complex and often misunderstood group of rare disorders characterized by the distinctive enlargement of lymph...
Read More →
2026-04-13 · 6 min read
Understanding Castleman Disease: A Complex Immune Challenge
Castleman disease (CD) represents a unique group of rare and often perplexing disorders that fundamentally involve the lymph nodes, crucial
Read More →
2026-04-16 · 7 min read
UCD vs MCD: Decoding Castleman Disease Subtypes and Their Impact
Castleman Disease (CD) represents a complex and often elusive group of rare disorders that primarily affect the body’s lymph nodes....
Read More →